What Do You Sell?
Today’s dental economy is rapidly changing, and the dentist owner is challenged to remain current in every facet of his or her business, both clinically and operationally. There is a continuous wave of new materials, techniques and technology inundating us, begging for our attention 24 hours a day, seven days a week.
With the arrival of discount dentistry, social media, poor dental insurance reimbursement and the “price shopper,” many dentists have had to postpone their retirement five to 10 years or more. The seeking of excellent dental service is slowly being replaced by questions such as, “How much is your crown?”; or, “How much is an implant?” In the eyes of too many consumers, the dental industry has become a commodity-driven industry where “tangible products are replacing intangible services.” Aren’t all crowns equal? Look at your insurance reimbursement fee schedule. Do you charge the same for an anterior crown as a posterior crown? Maybe the anterior crown should be more expensive? I think so.

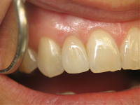
Photo caption: A 28-year-old female patient whose chief complaint was, “This is what my insurance covered, and the doctor said it was the best he could do.”
A tangible product is an object that satisfies a need or want and can be perceived by touch or feel (clothing, groceries, automobile, etc.). A service is intangible and cannot be touched or felt and is derived through the application of skills and expertise that fulfills an identified need. Dentists sell services, not products. Services are more about selling a relationship and the value of the relationship. As a result, they can be more difficult to sell. The key component to selling dental services and establishing long-term relationships is trust.
With the advent of Amazon.com and big-box superstores (Costco, Sam’s Club and 24-hour grocery stores), the consumer is demanding more. “One-stop” shopping and many dentists’ decisions to “compete on price” have shifted the dental industry toward a commodity-based market where emphasis is placed on product instead of service. This is a dangerous proposition for the small business owner. Much of this has been introduced through dental service organizations (DSOs) and the dental insurance industry, which is growing exponentially through acquisitions and marketing, while appealing to patients on numerous levels. Examples include: brand, national name recognition, being more cost-effective, etc. Considering the average student debt in 2015 was $247,000, many new graduates have decided to join a DSO to hone their clinical skills, be paid well, and not have to worry about managing or operating a business.
Dental insurance is another facet of business that dentists have had a difficult time keeping up with. For example, in 1972, the cap on dental insurance reimbursement was $1,000, and for many carriers, it hasn’t changed since then. Today, $1,000 would only pay for 177 dollars’ worth of dentistry in 1972. Conversely, it would require $5,660 dollars in 2015 to cover the purchasing power of $1,000 in 1972.
In 2016, it is worth noting that the No. 1 reason that dentists contract to become “in-network” providers is to grow their patient base. In other words, adding potential new insurance-dependent patients who, in most instances, don’t determine their own dental plans. Their employers do.
Unfortunately, many business owners do not realize that both the dentist and the insurance company are competing for the patient’s business. As a result, the dentist’s profit margins have dramatically shrunk, with more than 90 percent of dentists participating in one or more dental insurance discount programs. Prior to signing a contract to become an “in-network” provider, the business owner should evaluate the potential return on investment, with a clear knowledge of their breakeven point (BEP).
In my evaluation of hundreds of dental offices, I have found that more than 78 percent of all business managers and dental owners have contracted with insurance companies as “participating providers,” only to realize later that the insurance reimbursement is less than their cost of doing business. In other words, they are losing money while at the same time decreasing their cash flow. As an aside, it is important to note that insurance contracts are prepared and written by attorneys, not dentists.
In summary, an increase in patient flow that results in reimbursement for your services that are less than your cost of doing business is a recipe for disaster. Have you read your dental contracts, and do you know what your BEP is?
As dentists, we are considered physicians of the oral cavity, and we should focus on selling our services and expertise, not products and insurance affiliations. For the price shoppers and insurance-driven consumer, in most instances, they can go elsewhere.
With the arrival of discount dentistry, social media, poor dental insurance reimbursement and the “price shopper,” many dentists have had to postpone their retirement five to 10 years or more. The seeking of excellent dental service is slowly being replaced by questions such as, “How much is your crown?”; or, “How much is an implant?” In the eyes of too many consumers, the dental industry has become a commodity-driven industry where “tangible products are replacing intangible services.” Aren’t all crowns equal? Look at your insurance reimbursement fee schedule. Do you charge the same for an anterior crown as a posterior crown? Maybe the anterior crown should be more expensive? I think so.
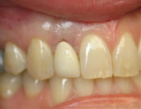
Photo caption: A 28-year-old female patient whose chief complaint was, “This is what my insurance covered, and the doctor said it was the best he could do.”
A tangible product is an object that satisfies a need or want and can be perceived by touch or feel (clothing, groceries, automobile, etc.). A service is intangible and cannot be touched or felt and is derived through the application of skills and expertise that fulfills an identified need. Dentists sell services, not products. Services are more about selling a relationship and the value of the relationship. As a result, they can be more difficult to sell. The key component to selling dental services and establishing long-term relationships is trust.
With the advent of Amazon.com and big-box superstores (Costco, Sam’s Club and 24-hour grocery stores), the consumer is demanding more. “One-stop” shopping and many dentists’ decisions to “compete on price” have shifted the dental industry toward a commodity-based market where emphasis is placed on product instead of service. This is a dangerous proposition for the small business owner. Much of this has been introduced through dental service organizations (DSOs) and the dental insurance industry, which is growing exponentially through acquisitions and marketing, while appealing to patients on numerous levels. Examples include: brand, national name recognition, being more cost-effective, etc. Considering the average student debt in 2015 was $247,000, many new graduates have decided to join a DSO to hone their clinical skills, be paid well, and not have to worry about managing or operating a business.
Dental insurance is another facet of business that dentists have had a difficult time keeping up with. For example, in 1972, the cap on dental insurance reimbursement was $1,000, and for many carriers, it hasn’t changed since then. Today, $1,000 would only pay for 177 dollars’ worth of dentistry in 1972. Conversely, it would require $5,660 dollars in 2015 to cover the purchasing power of $1,000 in 1972.
In 2016, it is worth noting that the No. 1 reason that dentists contract to become “in-network” providers is to grow their patient base. In other words, adding potential new insurance-dependent patients who, in most instances, don’t determine their own dental plans. Their employers do.
Unfortunately, many business owners do not realize that both the dentist and the insurance company are competing for the patient’s business. As a result, the dentist’s profit margins have dramatically shrunk, with more than 90 percent of dentists participating in one or more dental insurance discount programs. Prior to signing a contract to become an “in-network” provider, the business owner should evaluate the potential return on investment, with a clear knowledge of their breakeven point (BEP).
In my evaluation of hundreds of dental offices, I have found that more than 78 percent of all business managers and dental owners have contracted with insurance companies as “participating providers,” only to realize later that the insurance reimbursement is less than their cost of doing business. In other words, they are losing money while at the same time decreasing their cash flow. As an aside, it is important to note that insurance contracts are prepared and written by attorneys, not dentists.
In summary, an increase in patient flow that results in reimbursement for your services that are less than your cost of doing business is a recipe for disaster. Have you read your dental contracts, and do you know what your BEP is?
As dentists, we are considered physicians of the oral cavity, and we should focus on selling our services and expertise, not products and insurance affiliations. For the price shoppers and insurance-driven consumer, in most instances, they can go elsewhere.

Leave a comment